г. Набережные Челны,пр-кт Хасана Туфана, дом. 38, пом. 1003 (42/02)
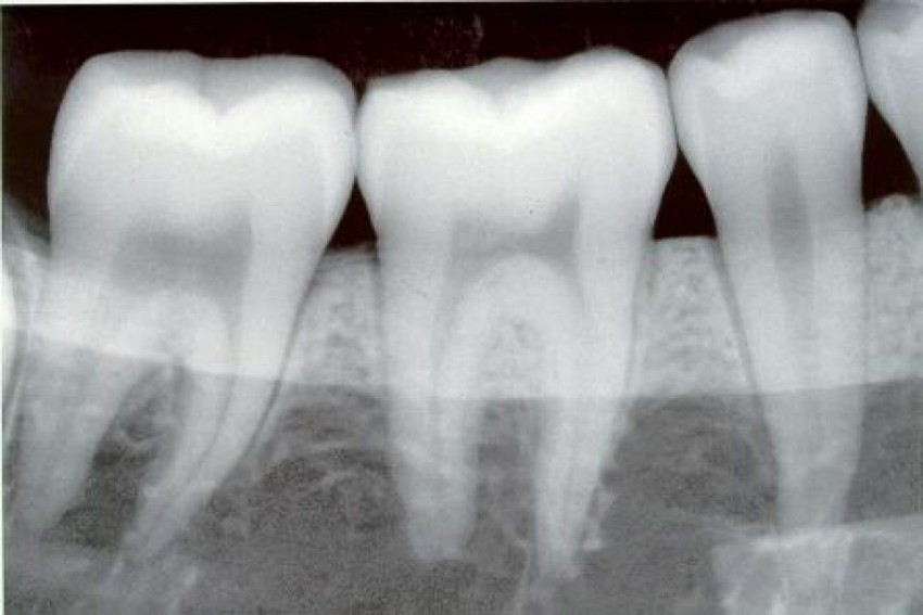
Рентген зуба (радиовизиография)
250 руб.
Радиовизиография – это рентген снимок рядом стоящих зубов; важнейший метод диагностики как состояния зубов, так и окружающих их тканей.
Остались вопросы?
Заказать обратный звонокКОМПЬЮТЕРНАЯ РАДИОВИЗИОГРАФИЯ ПОЗВОЛЯЕТ:
- определить глубину кариозного поражения;
- оценить строение корневой системы зуба, длину корневых каналов;
- увидеть трещины в корнях зуба, наличие кист и объем воспалительного процесса;
- обнаружить новообразования и инородные предметы в канале;
- проконтролировать качество пломбировки, удаления зуба, установки имплантата.
ПРЕИМУЩЕСТВА КОМПЬЮТЕРНОЙ РАДИОВИЗИОГРАФИИ ПЕРЕД ТРАДИЦИОННЫМ РЕНТГЕНОВСКИМ СНИМКОМ:
- При подобном обследовании на пациента оказывается минимальное воздействие рентгеновских лучей (на 90% меньше, чем при традиционном снимке);
- Снимки зубов готовы практически моментально (не требуется проявка, ядовитые химикаты);
- Благодаря скорости получения изображения и минимальному воздействию на организм возможно производить несколько снимков в течение короткого времени;
- Все результаты радиовизиографии хранятся в компьютерном виде, что позволяет врачу в любой момент времени получить к ним доступ (например при контрольном обследовании);
- При необходимости изображение можно обработать компьютерными методами: увеличить, сделать контрастнее или ярче;
- Радиовизиография зуба позволяет производить точные измерения, необходимые при изготовлении протезов.
ЭТАПЫ ПРОВЕДЕНИЯ РАДИОВИЗИОГРАФИИ ЗУБА:
- Подготовка к радиовизиографии Пациент усаживается в кресло и на его грудь надевается свинцовый фартук в качестве дополнительной защиты.
- Подготовка аппарата Тубу рентген-аппарата подводят к диагностируемой области.
- Фиксация датчика Во рту пациента размещается крошечный датчик в виде небольшой пластинки, который проводом связан с компьютером. Все, что требуется от пациента, в течение нескольких секунд удерживать его в нужном месте.
- Снимок Далее специалист нажимает на кнопку и происходит сам процесс съемки.






